Some pictures from my PhD-Thesis



DEN BROK, S.W.J. (1992): An experimental investigation into the effect of water on the flow of quartzite - Geologica Ultraiectina, mededelingen van de Fakulteit Aardwetenschappen der Rijksuniversiteit Utrecht, VOL. 95, 176 pp.



Fig. 2.1 Optical micrographs (crossed polars) of naturally deformed quartz
rocks showing (a) subgrains, elongated parallel to c, and (b) equidimensional
subgrains. Note the presence of fluid inclusions on the subgrain boundaries.



Fig. 3.8 SEM micrographs of new grains in axial arrays of quartz grains in sample GRU11 ("wet", 10e-7 /s).
Note sub- to euhedral morphology and voids. Note also mica platelets included in the quartz and absence of glass.




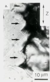
Fig. 3.9 Optical micrographs of syntaxial overgrowth of quartz (see
arrows) at grain boundaries parallel to Z in sample GRU11 ("wet",
10e-7 /s). Crossed polars.




Fig. 3.13 SEM micrographs showing axial micro-cracks in original grains
in sample GRU35 deformed "wet" at 10e-7 /s to ~46% strain. (a) Note presence
of fine euhedral grains within the partially healed micro-cracks. (b) Micrograph
showing two cracks. The left one is partially healed; the right one is open. The
right half of the micrograph is the surface of the micro-crack, consisting of sub-
euhedral new grains plus overgrowth structures. (c) Enlargement of upper part of
the crack on the left side of (b).




Fig. 3.14 Optical Photomicrographs (crossed polars plus gypsum plate) of sample
GRU29 ("wet", 10e-6 /s, ~40% strain) showing intergranular axial micro-cracks and
deformation lamellae. Crack walls show euhedral crystal morphology indicating that
solution-precipitation processes operated and gave the fracture an irregular form. (a)
Micro-cracks do not cross-cut the grains entirely. (b) Micro-crack cross-cuts deformation
lamellae. Note slight rotation of fractured blocks. (c) Original grain containing several
axial micro-cracks developed sub-parallel to deformation lamellae. Note relatively large
amounts of rotation of the fractured blocks giving the impression of undulatory extinction
and subgrains. East-west trending extinction bands are developed perpendicular to
slightly bended deformation lamellae. (d) Micro-cracks (see arrows) cross-cutting
deformation lamellae. Note euhedral habitus of fracture walls. (e) Bended deformation
lamellae plus undulatory extinction in bands. Yellow grain is fractured.





© Geologisches Institut ETH Zürich
10 November 1998
denbrok@erdw.ethz.ch